Tác dụng vi diệu của thiền
Nội dung
Thiền là gì?
Từ trước đến nay đã có rất nhiều khái niệm khác nhau được đưa ra để định nghĩa về thiền, và cũng có nhiều cách ngồi thiền khác nhau. Trong kinh điển Phật giáo nguyên thủy, thiền, tiếng Pali là bhavana, dùng để chỉ những pháp thực hành nhằm rèn luyện tâm. Có hai pháp thực hành thiền là Thiền định (samatha bhavana) và Thiền quán (vipassana bhavana).
Dưới góc độ Yoga thì thiền được gọi là “Dhyana” nghĩa là “dòng chảy của tâm trí”. Đây là một trạng thái tinh khiết và tập trung cao độ khi tâm trí xuôi chảy không gì ngăn trở, hoàn toàn đắm mình trong ý nghĩ về ý thức vũ trụ.
Lại có người định nghĩa về thiền như sau. Theo J. Krishnamurti (tác giả và nhà diễn thuyết nổi tiếng của Ấn Độ): “Thiền không phải là phương tiện. Nó là cả hai: phương tiện và cứu cánh. Thiền là một điều phi thường. Nếu có bất cứ một sự bắt buộc, cố gắng bắt tư tưởng phải tuân thủ, bắt chước, thì thiền sẽ là một gánh nặng”.
Với Chap, hiểu đơn giản là thiền để chỉ một phương pháp giúp cho ta sống trọn vẹn với hiện tại và tìm được sự bình an sâu thẳm trong tâm hồn mình. Đơn giản như vậy đó nhưng để đi sâu vào quan điểm này, mời các bạn đọc chia sẻ của Chap qua bài viết: Thiền theo cách hiểu của Hơi Thở nha!

Nhắc đến thiền, người ta sẽ nghĩ ngay đến việc ngồi thiền. Tuy nhiên, việc thực tập thiền còn bao gồm nhiều hoạt động khác như thiền hành (thực tập thiền khi đi bộ), nằm thiền (thực tập thiền ở tư thế nằm)…
Mỗi phương pháp thiền đều có cách thức thực hành chung là giữ cho tâm trí tập trung hoàn toàn vào việc mình đang làm. Bởi các suy nghĩ, vọng tưởng là thứ luôn tự động phát sinh trong đầu chúng ta. Khó có ai có thể dễ dàng chấm dứt mọi vọng tưởng để dồn toàn tâm, toàn trí cho một công việc. Vừa nhặt rau có thể bạn vừa nhớ tới chuyện ở cơ quan hay ở trên lớp. Khi đang lái xe máy, bạn lại nghĩ tới việc trưa nay ăn ở đâu, món gì, định rủ ai đi, bla bla…
Chính điều này luôn làm bạn mất tập trung, trí nhớ giảm sút. Những căng thẳng, vướng mắc trong cuộc sống, nhất là sự khó khăn trong việc kiểm soát tâm trạng, cảm xúc cũng chủ yếu xuất phát từ vọng tưởng mà ra. Về già thì dễ quên quên nhớ nhớ, lẩm cẩm, thiếu sáng suốt. Đó là lí do mà ta luôn phải thực tập thiền để trở về sống trọn vẹn với hiện tại theo đúng nghĩa của nó.
Tác dụng vi diệu của thiền
Thiền có vô số lợi ích, bài viết ngắn này chỉ giới thiệu vài sự diệu dụng của Thiền mà mỗi người nên biết, nếu muốn có một cuộc sống khỏe mạnh và hạnh phúc hơn.
Thiền góp phần chữa được nhiều thứ bệnh, nhất là các bệnh thuộc loại tim mạch và hệ thống hô hấp… Tại sao?
Y giới, nhất là qua sự khám phá của Bs.Herbert Benson, Đại học Harvard, Mỹ, cho thấy, có từ 60-90 % bệnh tật sinh ra là do căng thẳng, mà Thiền có khả năng làm giảm căng thẳng nên Thiền có khả năng trị bệnh.
1. Tại sao con người bị căng thẳng?
– Vì giận hờn, lo âu, sợ hải, buồn phiền …Lúc giận, lo, sợ…tim đập nhanh hơn, phổi thở nhiều hơn, lượng đường trong máu gia tăng, áp huyết lên cao, bao tử ăn không tiêu. Vì sao có các triệu chứng này?
– Lúc căng thẳng, cơ thể tiết ra hai chất hóa học cực mạnh (có tên là norepinephrine & epinephrine) để cân bằng sự vận hành của cơ thể vật lý. Nếu tình trạng căng thẳng cứ kéo dài nhiều năm tháng, thì bệnh tật sẽ sinh ra là điều khó tránh khỏi.
Bình thường, nhịp đập của tim là 80 lần một phút. Lúc căng thẳng, mỗi phút tim đập, có lúc, trên 100 lần.
Thí dụ, để chữa trị chứng tim đập quá nhanh. Bệnh nhân đến phòng mạch, bác sĩ cho thuốc để nhịp đập của tim được trở lại bình thường. Nhưng thuốc phải tốn tiền, có thể bị phản ứng phụ. Nếu quen thuốc, bác sĩ sẽ cho thuốc khác. Cứ thế, người bệnh bị nô lệ thuốc lâu dài nếu tình trạng căng thẳng vẫn tiếp diễn. Trường hợp này, chữa bằng thuốc là chữa cái ngọn chứ không phải chữa cái gốc. Căng thẳng là gốc của bệnh tật, vẫn còn tồn tục.
Do vậy, nếu áp dụng Thiền vào trị liệu. Thiền có khả năng làm giảm căng thẳng. Do đó, cơ thể có cơ hội trở lại bình thường mà không cần đến thuốc, bệnh tật sẽ được ổn định.
2. Làm thế nào để biết Thiền có thể làm giảm căng thẳng?
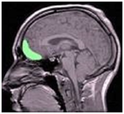
– Máy cộng hưởng từ (fMRI) được sử dụng để chụp hình não bộ lúc người thực hành Thiền, như hình dưới đây:

Lúc Thiền, định được tâm, vùng liên hệ đến sự tập trung chú ý (self-awareness), phía trên bộ não, tăng trưởng làm cho con người dễ tập trung thay vì nghĩ lung tung. Vùng thứ hai liên hệ đến an lạc vui vẻ, yêu đời (compassion) cũng được gia tăng, con người cảm thấy nhẹ nhàng an lạc thay vì chán nản giận hờn lo âu, cau có. Và đặc biệt hơn là, vùng thứ ba liên hệ đến căng thẳng (stress) bị teo nhỏ lại. Lúc con người không bị cẳng thẳng hay có rất ít căng thẳng thì sẽ không có hoặc có rất ít bệnh tật.
Chúng ta cũng cần biết thêm, các cơ phận của con người được cấu tạo bởi các tế bào quấn lại với nhau gọi là nhiễm sắc thể (chromosomes) phần màu xám (xem hình bên dưới). Hai đầu được bọc bởi chất Telomeres để bảo vệ nhiễm sắc thể khỏi bị hư hại. Nếu con người bị căng thẳng, phần Telomeres sẽ ngắn dần. Điều nầy báo hiệu tuổi già bắt đầu và bệnh sắp xẩy ra. Thiền có khả năng làm cho chất telomerase tăng trưởng, chất nầy góp phần tái tạo để chất Telomeres dài trở lại.

Trong bài “Làm sao mà Thiền có thể thay đổi bộ não.” Máy chụp cộng hưởng từ (fMRI) cũng cho thấy, thiền thay đổi não bộ làm gia tăng chất xám trong vùng hải mã (the hippocampus) là vùng quan trọng làm cải tiến việc học và gia tăng trí nhớ (learning and memory).

Thiền, làm sao thực hiện?
– Nên kiếm các tăng ni và phật tử nào am hiểu “Thiền sức khỏe” để nhờ hướng dẫn. Hoặc có thể theo 3 động tác chính sau đây:
a. Kiếm một chỗ ngồi thoải mái. Ngồi bán già hay kiết già thì tốt nhất. Nhưng ngồi hay nằm trên ghế, trên giường cũng được.
b. Ý nghĩ dõi theo sự hít vào và thở ra.
c. Nếu tâm chạy tán loạn, thì nhẹ nhàng đem tâm trở về với hơi thở.
Nếu mỗi ngày Thiền được vài chục phút thì bệnh tật sẽ giảm thiểu, người cảm thấy an lạc, hạnh phúc và yêu đời, sắc đẹp cũng được gia tăng vì Thiền làm cho cơ thể tiết ra các dưỡng chất lành mạnh như nitric oxide, chất endorphins, chất dopamine…
Các hóa chất này nuôi dưỡng các tế bào da làm cho da đỏ ửng hồng, khuôn mặt hiền, dễ thương, phúc hậu, thay vì buồn, nổi mụn và bị nám. Thiền làm gia tăng bạch huyết cầu, hệ miễn nhiễm mạnh có khả năng chống bệnh tật. Thiền còn giúp những người có bệnh hiếm muộn dễ có con, và góp phần trị các chứng bệnh của thời đại, chợ chưa đi mà tiền đã hết…
An vui thì khỏe mạnh, ưu phiền sẽ ốm đau. Phải chăng đó là “triết lý” sống của kiếp nhân sinh.
Chế độ ăn uống; nhiều rau, củ, quả, và đi bộ mỗi ngày vài chục phút, rất cần cho một cơ thể cường tráng ít bệnh tật. Thiền là một phương thuốc ngoại hạng của nhân thế mà không phải tốn tiền không cần xin phép hoặc tranh giành với ai.
Thiền có khả năng góp phần vào việc cải tiến xã hội, chữa trị bệnh tật, làm cho con người đẹp hơn, thông minh hơn, sống thọ và sống có hạnh phúc hơn mà không tốn cắc bạc nào. Tốn chăng, cần một cái gối để ngồi. Quá chừng rẻ.
Nếu Thiền vào bệnh viện, bệnh nhân sẽ chóng lành, ngân sách chi tiêu y tế quốc gia sẽ giảm. Thiền vào học đường, học sinh, sinh viên và giáo chức sẽ thông minh, mạnh khỏe và an lạc hơn. Thiền vào xí nghiệp, lợi nhuận của chủ và thợ gia tăng, chi phí bảo hiểm sức khỏe giảm.
Tổng quát, Thiền là thức ăn, là ngưồn sống, là dưỡng chất của con người trong tất cả các lứa tuổi và các ngành nghề của thế giới hiện nay. Tại Mỹ, 50% dân chúng thay lối chữa trị cũ bằng Thiền và Yoga. Việt Nam chúng ta, Thiền dường như vẫn còn ngủ chưa chịu vỗ cánh tung bay vào xã hội để phổ độ chúng sinh?!